Dental Treatments & Procedures at Delhi's Best Dental Clinic

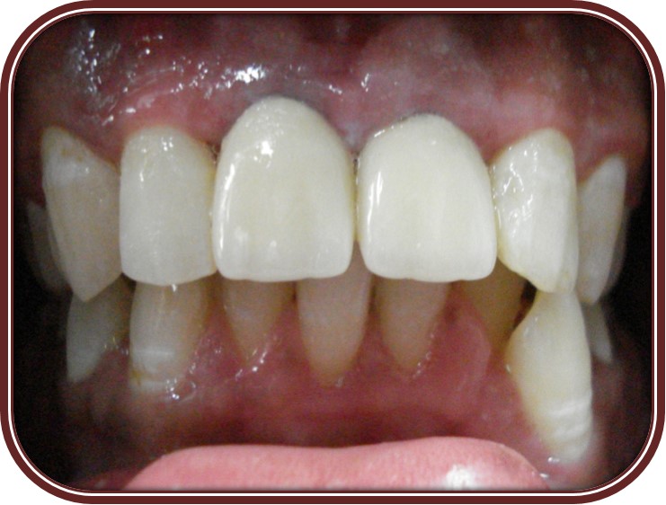
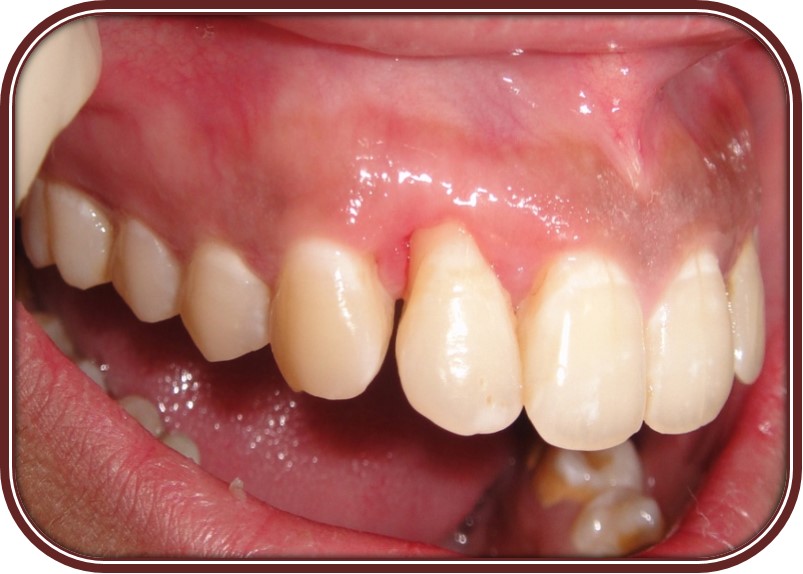
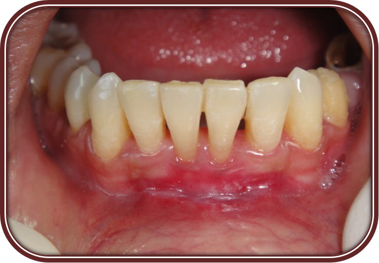
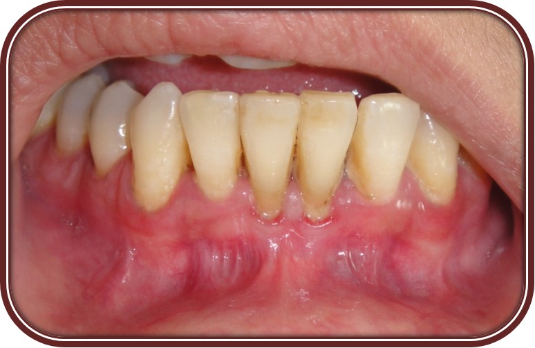
General Dentists are the most common dental care providers to people of all ages. They diagnose and manage overall oral healthcare needs including cleanings, fillings and preventive education. In many respects, your oral health can be seen as a mirror of your general health. Untreated oral infections can lead to poorer control of diabetes, an incidence of cardio vascular diseases and complications during pregnancy. In terms of routine dental appointment there isn’t a single schedule that fits all patients. Depending on your individual circumstances, your dentist may want to see you twice a year, every three months or another interval. Whatever it is, don’t let those appointment go!








Call Now

+91-8527275521

We want to hear from you!

Get in touch and let us know how we can help